갱년기 노리는 허릿병 ‘척추전방전위증’

갱년기 노리는 허릿병 ‘척추전방전위증’

입력 2014-11-24 00:00
수정 2014-11-24 13:12
  • 기사 읽어주기
    다시듣기
  • 글씨 크기 조절
  • 댓글
    0
 비만하지도 않은데 배가 불룩해 보이거나, 걸음이 부자연스럽게 뒤뚱거린다. 남성보다 여성에게 특히 두드러진 현상이지만, 증상에 특이성이 거의 없어 많은 사람들이 척추관 협착증으로 오인하기도 한다. 그러나 이런 경우라면 ‘척추전방전위증’을 의심해 볼 필요가 있다.

 날씨가 겨울로 접어들어 쌀쌀해지며 만성적인 허리 통증으로 고통을 겪는 갱년기 여성들이 의외로 많다. 이런 증상이 나타나면 대부분 퇴행성 디스크나 척추관협착증으로 생각하지만, 척추 뼈가 어긋나는 척추전방전위증일 가능성도 커 주의가 필요하다.

 보건복지부인증 바른세상병원 척추센터가 2010년 2월부터 2014년 7월까지 4년간 이 병원을 찾은 2832명의 척추전방전위증 환자를 분석한 결과, 환자 대부분이 50~60대 갱년기 여성인 것으로 나타났다.

 
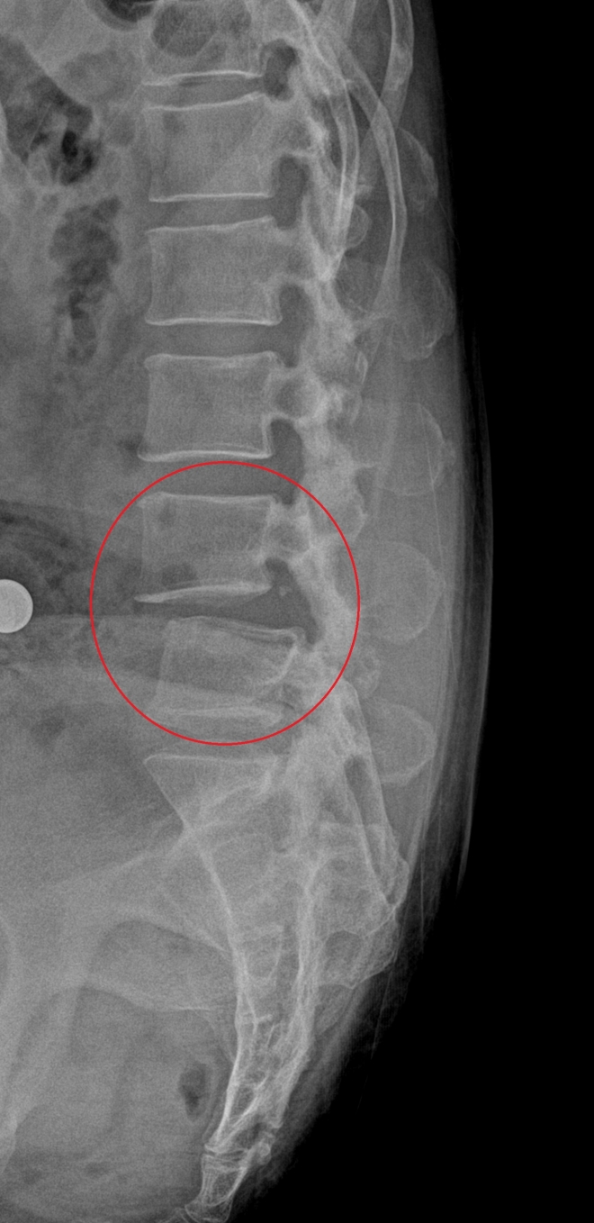
이미지 확대
척추전방전위증으로 진단된 환자 중 60대 여성이 22.2%인 876명으로 가장 많았고, 50대 여성이 19.5%인 747명으로 나타나 50~60대 여성이 10명 중 4명을 차지하고 있었다. 70대 여성(14.9%, 555명)과 40대 여성(7.5%, 330명)이 뒤를 이었다. 전체적으로는, 여성이 68.6%(1942명)로 남성( 31.4%, 890명)에 비해 2.2배나 많았으며, 남녀 모두 40대 이후 급격한 증가세를 보였다.

 

 ■호르몬 영향 때문에 근력 약한 여성이 취약

 노화가 빨라지는 40대부터는 남녀 모두 척추와 관절 주변 인대가 점차 신축성을 잃는다. 이에 따라 척추를 지지하는 힘이 약해지면서 척추의 불안정성이 커져 척추전방전위증 위험이 한층 커진다. 다소 생소한 질환인 척추전방전위증은 척추의 위 아래가 어긋나면서 골격 변형과 통증이 일어나는 질환이다.

 50~60대 여성들이 특히 취약한데, 이유가 있다. 여성은 근육량이 남성의 3분의 2 수준으로 적은 데다, 폐경기를 지나며 여성호르몬이 변화하는 것이 주된 요인이다. 학계에서 이 질환의 여성 유병률이 남성에 비해 3~4배 정도 높은 것으로 보고되고 있는데, 이런 원인이 작용하기 때문이다.

 척추전방전위증은 오래 걸을수록 허리 통증이 심해지고, 앉았다 일어설 때, 허리를 펼 때 특히 통증이 심하다. 증상이 심해지면 잘 때 돌아눕다가 아파서 깨기도 하고, 신경을 자극해 다리까지 통증이 이어지기도 한다.

 바른세상병원 서동원 원장은 “이런 증상이 척추관협착증과 유사해 많은 환자들이 척추관 협착증으로 잘못 알아 병을 키우고 있다”면서 “디스크, 척추관협착증과 함께 3대 척추질환으로 꼽힐만큼 발생 빈도가 높지만 일반인의 인식은 여전히 낮은 수준”이라고 지적했다.

 신경관이 좁아지면서 통증과 저림 증상이 생기는 협착증과 달리 전방전위증은 척추 뼈가 어긋날수록 통증이 심해진다. 위쪽 뼈가 앞으로 밀려 나오면 비만하지 않더라도 배가 나와 보일 수 있고, 아래쪽 척추 뼈가 뒤로 밀려나가면 엉덩이가 뒤로 빠져 ‘오리걸음’을 걷게 된다.

 

 ■조기 발견이 치료 관건 누워서 X선 찍으면 발견 어려워..

 진단은 비교적 간단해 X선 검사만으로 척추 뼈의 어긋난 정도를 쉽게 확인할 수 있다. 문제는 증상이 미미한 초기 단계일 경우 누워서 X선을 찍으면 확인이 어렵다는 점. 앞뒤로 밀려 나온 정도를 확인하기 위해서도 반드시 서 있는 상태와 앞으로 숙여서 X선 촬영을 해야 정확하게 진단할 수 있다. 다리 저림이 심하고, 척추관협착증 동반이 의심될 때는 자기공명영상(MRI) 촬영을 통해 정밀하게 상태를 확인하기도 한다.

 뼈의 어긋난 정도가 경미하면 약물과 물리치료를 병행하고, 보조기를 착용하거나, 평소 증상을 유발하는 활동을 피하는 것만으로도 통증을 줄이는 등 질환의 악화를 막을 수 있다. 하지만 통증이 심한 경우, 꼬리뼈에 2mm 정도의 가는 관을 척추신경을 둘러싼 경막 바깥쪽으로 삽입해 염증 부위를 직접 보면서 치료하는 신경감압술로 치료하는 것이 일반적이고, 효과도 좋다. 척추가 심하게 어긋나고, 신경이 눌려 시술이 어렵다면 불안정성을 해소하기 위해 ‘미세 골유합술’로 척추 뼈를 고정하는 것이 바람직하다.

 척추전방전위증을 예방하려면 평소 허리에 자극을 주는 동작을 피하고, 운동으로 척추주변 근육을 강화하는 것이 필수적이다. 환자는 전문의의 운동가이드를 받아 운동을 해야 엉뚱한 악화를 막을 수 있다. 특히, 갱년기 이후 여성들은 일상생활이나 가사노동을 할 때 허리를 굽히는 자세, 오래 서 있는 자세를 피해야 한다. 요가는 허리통증이 있는 사람에게 부담을 줄 수 있으므로 삼가는 것이 좋다. 또 날씨가 쌀쌀해질수록 체온을 따뜻하게 유지해야만 통증을 줄일 수 있다.

 이승철 바른세상병원 척추센터장(신경외과 전문의)은 “중년 이후 여성들에게 많이 나타나는 척추전방전위증은 척추관협착증과 증상이 매우 유사하기 때문에 환자들이 자가진단으로 병을 키워 수술이 불가피한 경우가 적지 않다”면서 “척추전방전위증은 어긋한 정도가 적을 수록 치료가 쉽기 때문에 초기 단계에 병을 치료하는 것이 최선인만큼 의심스러운 증상이 나타나면 미루지 말고 정확한 검사를 받아봐야 한다”고 조언했다.

 심재억 의학전문기자 jeshim@seoul.co.kr
Copyright ⓒ 서울신문 All rights reserved. 무단 전재-재배포, AI 학습 및 활용 금지
close button
많이 본 뉴스
1 / 3
'새벽배송 금지'에 대한 여러분의 생각은 어떤가요?
민주노총 택배노조의 ‘새벽배송 금지’ 제안을 두고 논란이 거세지고 있다. 노동자의 수면·건강권을 지켜야 한다는 주장과, 새벽 배송을 원하는 노동자들의 ‘일할 권리’, 민생경제를 지켜야 한다는 반발이 정면으로 맞붙고 있다. 여러분은 어떤 생각을 갖고 계신가요?
1. 새벽배송을 제한해야 한다.
2. 새벽배송을 유지해야 한다.
광고삭제
광고삭제
위로